Mowlajko Family and Cosmetic Dentistry
Dr. Charles Andrew Mowlajko

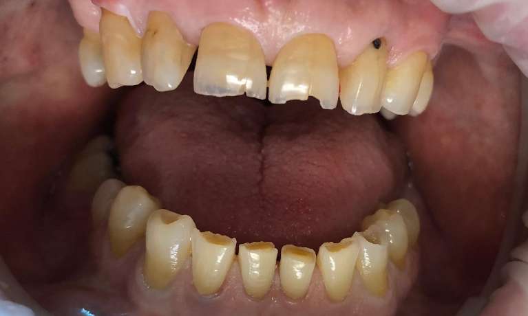
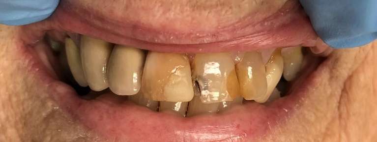
Smile Gallery

Check out our smile gallery of before and after photos to see what's possible for your smile.

Have Questions? Get in Touch
Smile Gallery Categories
Treats you like family.

Dr. Mowlajko and his team are wonderful. Always listening to your concerns and needs. You are able to ask questions about insurance. They don’t rush you through anything. Quality care and workmanship. I would highly recommend this practice and Dr. Mowlajko. Treats you like family.
-Ruthanne A.
 

If you have difficulty using our website, please email us or call us at (864) 224-8831
View the ADA Accessibility Statement
Privacy Policy