Mowlajko Family and Cosmetic Dentistry
Dr. Charles Andrew Mowlajko

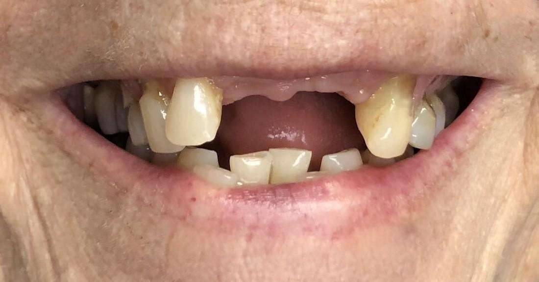
Bridge

Following a traumatic facial injury, the patient’s missing and misaligned teeth were restored using a 6-unit all-ceramic bridge.

Are You Ready to Book Your Next Dental Visit?
If you have difficulty using our website, please email us or call us at (864) 224-8831
View the ADA Accessibility Statement