Mowlajko Family and Cosmetic Dentistry
Dr. Charles Andrew Mowlajko

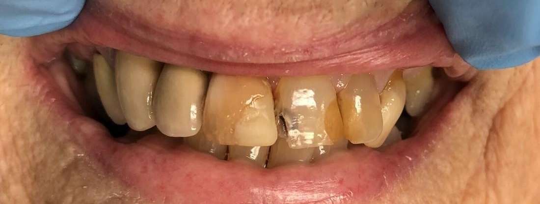
Crowns

Replacing old, failing dentistry and decay with beautiful new all ceramic crowns, we were able to improve this patient’s smile and dental health for years to come. 

Are You Ready to Book Your Next Dental Visit?
If you have difficulty using our website, please email us or call us at (864) 224-8831
View the ADA Accessibility Statement
Privacy Policy